Update : 2025-11-12 15:44
ÀÌ ½Ã°£ ÁÖ¿ä±â»ç
´º½º > Á¦¾à·¹ÙÀÌ¿À·ÀÇ·á
µ¹¿¬»ç Ű¿ì´Â ¡®Á¶¿ëÇÑ º´¡¯ ºñÈļº ½É±Ùº´Áõ¡¦ Á¤±â °ËÁøÀ¸·Î ¿¹¹æ
¡°°¡Á··Â ÀÖ´Ù¸é °ËÁøÀº Çʼö¡±
Çã½Â¾Æ ±âÀÚ ±âÀÚÆäÀÌÁö + ÀÔ·Â 2025-11-12 10:30:57
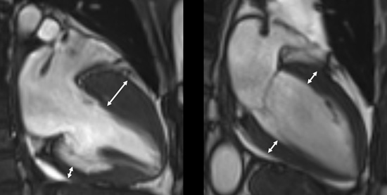
¡ã (¿ÞÂʺÎÅÍ) ºñÈļº ½É±Ùº´ÁõÀ» °¡Áø ȯÀÚÀÇ ÀÚ±â°ø¸í¿µ»ó, Á¤»ó ½ÉÀå ÀÚ±â°ø¸í¿µ»ó. °í·Á´ëÇб³ ¾È»êº´¿ø Á¦°ø
 
ºñÈļº ½É±Ùº´ÁõÀº ¸» ±×´ë·Î ½É±Ù(½ÉÀå±ÙÀ°)ÀÌ ºñÁ¤»óÀûÀ¸·Î µÎ²¨¿öÁö´Â ÁúȯÀÌ´Ù. ½É±ÙÀÌ µÎ²¨¿öÁö¸é ±ÙÀ°ÀÇ ¼öÃà°ú ÀÌ¿ÏÀÌ ¿øÈ°ÇÏÁö ¾Ê¾Æ ºÎÁ¤¸ÆÀÌ ¹ß»ýÇÏ°í ¶§·Î´Â Ä¡¸íÀû ºÎÁ¤¸ÆÀÌ ¹ß»ýÇØ µ¹¿¬»ç·Î À̾îÁú ¼ö ÀÖ¾î °¢º°ÇÑ ÁÖÀǰ¡ ÇÊ¿äÇÏ´Ù.
 
12ÀÏ ±è¿ëÇö °í·Á´ë ¾È»êº´¿ø ¼øÈ¯±â³»°ú ±³¼ö´Â ¡°º¸Åë ½É±ÙÀº ¼ö³â ÀÌ»ó °íÇ÷¾ÐÀ» Á¶ÀýÇÏÁö ¾Ê°í ¹æÄ¡ÇÒ ¶§ µÎ²¨¿öÁö¸ç ½ÉÀå¿¡¼­ Çǰ¡ ³ª°¡´Â Ãⱸ°¡ Á¼¾ÆÁö´Â ´ëµ¿¸ÆÆÇÇùÂøÁõÀÌ ÀÖÀ» ¶§¿¡µµ µÎ²¨¿öÁø´Ù¡±¸ç ¡°½ÉÀåÀÌ Ç÷¾×À» ³»º¸³»±â À§ÇØ ´õ Å« ÈûÀ» ½á¾ß ÇÏ°í ±× °á°ú ±ÙÀ°ÀÌ ¹ß´ÞÇØ µÎ²¨¿öÁö´Â ¿ø¸®´Ù¡±°í ¼³¸íÇß´Ù. 
 
ºñÈļº ½É±Ùº´Áõ¿¡¼­ °¡Àå ¹®Á¦°¡ µÇ´Â ÇÕº´ÁõÀº µ¹¿¬»ç´Ù. ÀϹÝÀûÀ¸·Î Áõ»óÀÌ ¾ø´Â °æ¿ì°¡ ¸¹¾Æ ¾Æ¹« ÀüÁ¶Áõ»ó ¾øÀÌ ½Ç½ÅÇϰųª ±Þ»çÇÔÀ¸·Î½á Áø´ÜµÉ ¶§°¡ ÀÖ´Ù. ´ë°³ °Ç°­ °ËÁø ÀÌÈÄ ½ÉÀüµµ, ½ÉÀåÃÊÀ½ÆÄ ÀÌ»óÀ¸·Î È®ÀεǴ °æ¿ì°¡ °¡Àå ¸¹°í µ¹¿¬»çÀÇ °¡Á··Â¿¡ ´ëÇÑ °¡Á· °Ë»ç¸¦ ÅëÇØ ¾Ë°Ô µÇ´Â °æ¿ìµµ ÀÖ´Ù.
 
Áø´ÜÀº ½ÉÀåÃÊÀ½ÆÄ, ÀÚ±â°ø¸í¿µ»ó(MRI) µî ¿µ»ó°Ë»ç¸¦ ÅëÇØ ÀÌ·ïÁö¸ç, ºñÈÄµÈ ½É±Ù ³»¿¡ ¼¶À¯È­°¡ ÁøÇàµÅ Àְųª ±ÙÀ°Á¶Á÷ÀÌ Áö¹æÁ¶Á÷À¸·Î º¯¼ºÀÌ µÅ ÀÖ´Â »óŰ¡ °üÂûµÈ´Ù. ÇÏÁö¸¸ ÀÌ °°Àº Á¶Á÷º¯¼ºÀÌ ¾ø´Â ºñÈļº ½É±Ùº´Áõµµ ÀÖ´Â ¸¸Å­ Àü¹®ÀÇÀÇ Á¾ÇÕÀû ÆÇ´ÜÀÌ Áß¿äÇÏ´Ù.
 
ºñÈļº ½É±Ùº´ÁõÀÇ Ä¡·á ¸ñÇ¥´Â Áõ»óÀ» ÁÙÀÌ°í ½ÉºÎÀüÀ̳ª ±Þ»ç¿Í °°Àº ÇÕº´ÁõÀ» ¿¹¹æÇÏ´Â °ÍÀÌ´Ù. 
 
´ëºÎºÐ ¾à¹°Ä¡·á¸¦ ÅëÇØ ½É¹Ú¼ö¸¦ ³·Ãß°í ½É±Ù ÀÌ¿ÏÀ» ÃËÁøÇÏ´Â Ä¡·á·Î ½ÃÀÛÇÑ´Ù. ¾à¹°·Î Á¶ÀýÀÌ ¾ÈµÉ ¶§´Â µÎ²¨¿öÁø ½É±Ù ÀϺθ¦ ÀýÁ¦ÇØ Ç÷·ùÀÇ ±æÀ» È®º¸ÇÏ´Â ¼ö¼úÀû Ä¡·á°¡ ±Ç°íµÈ´Ù. 
 
½Ç½ÅÀÇ º´·Â, µ¹¿¬»çÀÇ °¡Á··Â, ½É±Ù¼¶À¯È­ Á¤µµ, ½É½Çºó¸Æ À¯¹«, ½É±Ù ºñÈÄ Á¤µµ µîÀ» Á¡¼öÈ­ÇØ µ¹¿¬»ç °¡´É¼ºÀÌ ³ôÀº ȯÀڵ鿡°Ô´Â À̽ÄÇü ½É½ÇÁ¦¼¼µ¿±â¸¦ ¿¹¹æÀûÀ¸·Î »ðÀÔÇϱ⵵ ÇÑ´Ù. ºñÈļº ½É±Ùº´Áõ ȯÀÚ´Â ½É¹æ¼¼µ¿¡¤Çù½ÉÁõ °°Àº ÇÕº´ÁõÀÌ ÀÚÁÖ »ý±æ ¼ö ÀÖÀ¸¹Ç·Î Áõ»óÀÌ ¾ø¾îµµ Á¤±â °Ë»ç¸¦ ÅëÇØ Á¶±â¿¡ ¹ß°ßÇϰí Áï½Ã Ä¡·á¹Þ´Â °ÍÀÌ Áß¿äÇÏ´Ù.
 
°³ÀÎ º´·ÂÀ̳ª °¡Á··Â µîÀ¸·Î °íÀ§Ç豺¿¡ ¼ÓÇÏ´Â ºñÈļº ½É±Ùº´Áõ ȯÀÚ´Â ºÎÁ¤¸ÆÀ¸·Î ÀÎÇÑ µ¹¿¬»çÀÇ À§ÇèÀÌ ÀÖÁö¸¸ ´ëºÎºÐÀÇ È¯ÀÚ´Â ÀûÀýÇÑ °ü¸®¿Í Á¤±âÀûÀÎ °Ë»ç¸¦ ÅëÇØ ¾ÈÀüÇÏ°Ô ÀÏ»ó»ýȰÀ» À¯ÁöÇÒ ¼ö ÀÖ´Ù. 
 
°È±â, ¿ä°¡, °¡º­¿î ÀÚÀü°Å Ÿ±â µî Àú~Áß°­µµ ¿îµ¿Àº ¿ÀÈ÷·Á ½ÉÇ÷°ü °Ç°­¿¡ µµ¿òÀÌ µÉ ¼ö ÀÖ´Ù. ´Ù¸¸ ÃÖ´ë½É¹Ú¼öÀÇ 70%¸¦ ³Ñ´Â °í°­µµ ¿îµ¿Àº ¾ÈÀü¼º¿¡ ´ëÇÑ ±Ù°Å°¡ ºÎÁ·ÇϹǷΠ¹Ýµå½Ã ÃæºÐÇÑ °Ë»ç¿Í »çÀü Æò°¡¸¦ °ÅÃÄ ´Ü°èÀûÀ¸·Î °­µµ¸¦ ³ôÀÌ´Â °ÍÀÌ ¹Ù¶÷Á÷ÇÏ´Ù.
 
°í·Á´ë ¾È»êº´¿ø ¼øÈ¯±â³»°ú ±è¿ëÇö ±³¼ö´Â ¡°ºñÈļº ½É±Ùº´ÁõÀº °íÀ§Ç豺ÀÇ °æ¿ì µ¹¿¬»ç·Î À̾îÁú ¼ö ÀÖ´Â ¸¸Å­ °¡Á··ÂÀ̳ª ½Ç½Å º´·ÂÀÌ ÀÖ´Ù¸é Á¤±âÀûÀÎ °Ë»ç¸¦ ÅëÇØ Á¶±â¿¡ ¹ß°ßÇÏ°í °ü¸®ÇÏ´Â °ÍÀÌ Áß¿äÇÏ´Ù¡±¸ç ¡°µ¹¿¬»ç »óȲ¿¡ ´ëºñÇØ º¸È£ÀÚµéÀº ½ÉÆó¼Ò»ý¼ú°ú ÀÚµ¿Á¦¼¼µ¿±â »ç¿ë¹ýÀ» ÀÍÇôµÎ´Â °ÍÀÌ Áß¿äÇÏ´Ù¡±°í ´çºÎÇß´Ù.
ÈÄ¿øÇϱâ
  • Á¤±â ÈÄ¿ø
  • ÀÏ¹Ý ÈÄ¿ø
  • ¹«ÅëÀåÀÔ±Ý: ÇϳªÀºÇà 158-910019-39504 ½ºÄ«À̵¥Àϸ®
  • ½ºÄ«À̵¥Àϸ®´Â °ø°ø¼º¿¡ ±â¹ÝÇØ µ¶ÀÚ°¡ ¸¸µé¾î °¡´Â ¾ð·ÐÀ» ÁöÇâÇÕ´Ï´Ù. Á¤±â ¶Ç´Â ÀÏ¹Ý ÈÄ¿ø½Ã ¸ÂÃãÇü ´º½º, µ¶ÀÚ¿¡°Ô ÇÒ´çÇÏ´Â Áö¸é ¼­ºñ½º, µ¿ÇàÇÏ´Â È«º¸, À¯»óÁõÀڽà Âü¿©±âȸ Á¦°ø(¹ýÀο¡ ÇÑÇÔ) µîÀÇ ÇýÅÃÀ» ¹ÞÀ» ¼ö ÀÖ½À´Ï´Ù
ÀÌ ±â»ç¿¡ ´ëÇØ ¾î¶»°Ô »ý°¢ÇϽóª¿ä?
ÃßÃµÇØ¿ä
0
ÁÁ¾Æ¿ä
0
°¨µ¿ÀÌ¿¡¿ä
0
È­³ª¿ä
0
½½ÆÛ¿ä
0
´ñ±Û : 0
¿À´ÃÀÚ ½ºÄ«À̵¥Àϸ®



ÁÖ¿ä ¼½¼Ç ±â»ç

















ÁÖ¼Ò : ¼­¿ï Ưº°½Ã Áß±¸ »õ¹®¾È·Î 26(ÃæÁ¤·Î1°¡, û¾çºôµù) 7Ãþ | ÀüÈ­ : 02-522-6595~6 | ÆÑ½º : 02-522-6597
Á¾ÇÕÀϰ£Áö µî·Ï¹øÈ£ : ¼­¿ï½Ã °¡50131, ÀÎÅͳݽŹ® µî·Ï¹øÈ£ : ¼­¿ï½Ã ¾Æ01703, µî·ÏÀÏ : 2011³â 7¿ù 18ÀÏ
¹ßÇࡤÆíÁýÀÎ: ¹Î°æµÎ, ÆíÁý±¹Àå : ÀÌ»óÁØ, »ç¾÷ÀÚ ¹øÈ£ : 214-88-81099 ÈÄ¿ø°èÁ : 158-910019-39504(ÇϳªÀºÇà)
copyright¨Ï2011, All rights reserved. Contact : skyedaily@skyedaily.com | û¼Ò³âº¸È£Ã¥ÀÓÀÚ : ¹Ú¼±¿Á
À±¸® °­·ÉÀ» ÁؼöÇÕ´Ï´Ù.